

審美治療とはただ歯を白くする事だけではありません
審美治療はバランスの取れた美しい口元を作り出し、自信を持った明るい笑顔や性格へと導きます。
あなたは「歯」に関して、こんな悩みを抱えていませんか?

◎歯の黄ばみが気になる
◎虫歯になりやすい
◎出産後、歯が弱くなった
◎結婚式は白い歯で迎えたい
◎歯を白くして、健康的に若返りたい
◎義歯は金属のバネが見えて恥ずかしい

審美とは、歯の「美しさ」という部分に焦点を当てた治療のことです。
審美には「単に歯を白くする」ということだけでなく、歯茎や噛み合わせなども良くする治療も含まれます。
具体的内容として、「ホワイトニング」、「オールセラミック」、「インプラント」などがあります。
1日で終わるセラミック治療
最先端の医療機器
セレック プライムスキャン

CERECプライムスキャンとは、特殊なカメラで歯の3D写真を撮り、コンピューターでセラミックの詰め物を制作するシステムです。(従来のように粘土による型取りは行いません)
短時間かつ1回の通院で、精密なセラミック治療が可能です。
ホワイトニング

ホワイトニングとは、薬の力を使って歯を白くしていく(歯の漂白)治療方法です。
近年は、お手軽さや低価格化により、若い方からご年配の方まで日常的にホワイトニングを行うようになってきました。 年齢を重ねるとどうしても歯の色が暗くなってきます。
ホワイトニングで若返り(アンチエイジング)してみませんか?
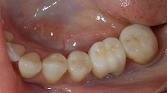
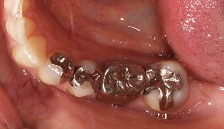
セラミック治療
むし歯の治療した部分を埋める、セラミックの詰め物で、いくつか奥歯の金属の詰め物が気になる方の取替えにも用いられます。
金属アレルギーや味覚障害の改善にもなります。
歯と同じカラーで作成しますので、健康的で自然な美しさが蘇ります。
ラミネートベニア

先天的に、あるいは薬などの影響で後天的に前歯の変色や汚れが目立つことがあります。
また、前歯部にすき間がある方がいます。そのようなケースにおススメしたいのが、ラミネートベニアという治療法です。
インプラント

歯が一部抜けて、義歯やブリッジになって、見た目が悪くなっている方には、インプラントによる審美治療がお奨めしています。元の歯のように見た目もよく、よく噛めるようになります。

矯正治療
歯並びを治すことで、見た目の美しさだけでなく、全身がより健康になります。
歯並びや嚙み合わせが悪いと、顎がずれ、顎関節症や頭痛・肩こり・めまい等の不定愁訴になるとされています。当然、虫歯や歯周病いなりやすくなります。
きれいな歯並びと機能的な噛み合わせを獲得し、豊かな人生をおくれたならこれにまさるものはないと確信しています。小児より大人まで行なっていますので、遠慮なくお気軽にご相談下さい。
斉藤歯科医院
静岡県富士市吉原4-7-22
TEL 0545-53-1116
FAX 0545-53-3909